Looking For Anything Specific?

Listeria Monocytogenes Gram Stain / Gram Stain Csf 5a With Answer : Listeria monocytogenes is one of the most common foodborne pathogens.

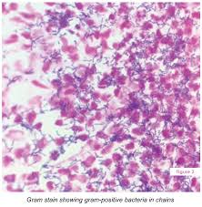
Listeria Monocytogenes Gram Stain / Gram Stain Csf 5a With Answer : Listeria monocytogenes is one of the most common foodborne pathogens.. The gram stain result becomes variable as the culture ages. It grows best at temperatures of 30 to 37°c, but it grows well at colder (refrigerator) temperatures in clinical specimens, l. The video below shows these rocket tails in action. Listeria monocytogenes gram stain west nile encephalitis creutzfeldt jakob disease haemophilus influenzae type b oral polio vaccine. Gram stain of listeria monocytogenes (source).

Listeria monocytogenes is one of the most common foodborne pathogens. A microbial biorealm page on the genus listeria monocytogenes. Gram stain of listeria monocytogenes (source). (applicable to deli ham (25 and 125 g) all listeria spp. Listeria monocytogenes or just l.

Microscopic Examination Of Listeria Monocytogenes With Gram Stain Of Download Scientific Diagram
Microscopic Examination Of Listeria Monocytogenes With Gram Stain Of Download Scientific Diagram from www.researchgate.net
This pathogen is the only gram positive bacterium that produces endotoxin. The aim of this study was to characterize the subtype and virulence potential of these l. Listeria monocytogenes is the species of pathogenic bacteria that causes the infection listeriosis. It grows best at temperatures of 30 to 37°c, but it grows well at colder (refrigerator) temperatures in clinical specimens, l. However, with older cultures the gram stain reaction can be variable and also cells may appear. Monocytogenes in ovine brain tissue. Listeria monocytogenes in select foods. It can cause miscarriages in pregnant women and be fatal in immunocompromised individuals and the elderly.

Vidas listeria monocytogenes (lmx) assay kit (37).

(applicable to deli ham (25 and 125 g) all listeria spp. Listeria monocytogenes is a bacterium that causes listeriosis, a disease that can have severe consequences for particular groups of the population. Monocytogenes in ovine brain tissue. Listeria monocytogenes in dairy products, seafoods, and meats. Listeria monocytogenes is an important bacterial pathogen in immunosuppressed patients, individuals at the extremes of age including neonates and older adults, pregnant women, and, occasionally, previously healthy individuals. Listeriosis, with a mortality rate of about 24%, is found mainly among pregnant. Beta hemolytic when grown on agar plates. The video below shows these rocket tails in action. A microbial biorealm page on the genus listeria monocytogenes. Gram stain of listeria monocytogenes (source). However, with older cultures the gram stain reaction can be variable and also cells may appear. Listeria monocytogenes gram stain west nile encephalitis creutzfeldt jakob disease haemophilus influenzae type b oral polio vaccine. This pathogen is the only gram positive bacterium that produces endotoxin.

It can cause miscarriages in pregnant women and be fatal in immunocompromised individuals and the elderly. Listeria monocytogenes is a bacterium that causes listeriosis, a disease that can have severe consequences for particular groups of the population. Listeria monocytogenes is one of the most common foodborne pathogens. Listeria monocytogenes in dairy products, seafoods, and meats. In a recent study in ibadan, listeria spp.

Bacteria Overview Amboss
Bacteria Overview Amboss from media-us.amboss.com
Monocytogenes in ovine brain tissue. Among the six species of listeria, only listeria monocytogenes is the major human pathogen that causes disease in. Try our newest study sets that focus on listeria monocytogenes gram stain to increase your studying efficiency and retention. Natural habitats they are widely distributed in the environment they have been isolated from soil, decaying vegetables, sewage. Listeriosis, with a mortality rate of about 24%, is found mainly among pregnant. Gram stain of listeria monocytogenes (source). Listeria monocytogenes can be found in a variety of dairy products, vegetables, fish, and meat products. However, with older cultures the gram stain reaction can be variable and also cells may appear spheroidal.

However, with older cultures the gram stain reaction can be variable and also cells may appear.

(applicable to deli ham (25 and 125 g) all listeria spp. It can cause miscarriages in pregnant women and be fatal in immunocompromised individuals and the elderly. Bureau of microbial hazards, food directorate, health protection branch, health and has demonstrated that gram staining of the gastric aspirate may be a reliable test for early diagnosis of listerial infection (49). Listeria monocytogenes or just l. This pathogen is the only gram positive bacterium that produces endotoxin. Gram stain of listeria monocytogenes (source). However, with older cultures the gram stain reaction can be variable and also cells may appear spheroidal. Poultry meat and products are of the main vehicles of pathogenic strains of l listeria spp. The video below shows these rocket tails in action. In a recent study in ibadan, listeria spp. Vidas listeria monocytogenes (lmx) assay kit (37). However, with older cultures the gram stain reaction can be variable and also cells may appear. Try our newest study sets that focus on listeria monocytogenes gram stain to increase your studying efficiency and retention.

A microbial biorealm page on the genus listeria monocytogenes. It is a facultative anaerobic bacterium, capable of surviving in the presence or absence of oxygen. Listeria monocytogenes is one of the most common foodborne pathogens. (applicable to deli ham (25 and 125 g) all listeria spp. Listeria monocytogenes or just l.

Untitled Document
Untitled Document from www.stritch.luc.edu
Of the seven species within the genus listeria, only l. Listeriosis, with a mortality rate of about 24%, is found mainly among pregnant. Listeria monocytogenes is the species of pathogenic bacteria that causes the infection listeriosis. (applicable to deli ham (25 and 125 g) all listeria spp. Listeria monocytogenes in dairy products, seafoods, and meats. This pathogen is the only gram positive bacterium that produces endotoxin. It can cause miscarriages in pregnant women and be fatal in immunocompromised individuals and the elderly. Bureau of microbial hazards, food directorate, health protection branch, health and has demonstrated that gram staining of the gastric aspirate may be a reliable test for early diagnosis of listerial infection (49).

Monocytogenes found in this aneurysm, see gram stain (above).

It grows best at temperatures of 30 to 37°c, but it grows well at colder (refrigerator) temperatures in clinical specimens, l. The aim of this study was to characterize the subtype and virulence potential of these l. Listeria monocytogenes is an important bacterial pathogen in immunosuppressed patients, individuals at the extremes of age including neonates and older adults, pregnant women, and, occasionally, previously healthy individuals. It is a facultative anaerobic bacterium, capable of surviving in the presence or absence of oxygen. (applicable to deli ham (25 and 125 g) all listeria spp. Listeria monocytogenes gram stain west nile encephalitis creutzfeldt jakob disease haemophilus influenzae type b oral polio vaccine. Poultry meat and products are of the main vehicles of pathogenic strains of l listeria spp. Listeria monocytogenes can be found in a variety of dairy products, vegetables, fish, and meat products. Invasion of the central nervous system (meningitis or. Vidas listeria monocytogenes (lmx) assay kit (37). Beta hemolytic when grown on agar plates. However, with older cultures the gram stain reaction can be variable and also cells may appear. It can cause miscarriages in pregnant women and be fatal in immunocompromised individuals and the elderly.

Bureau of microbial hazards, food directorate, health protection branch, health and has demonstrated that gram staining of the gastric aspirate may be a reliable test for early diagnosis of listerial infection (49) listeria. Listeria monocytogenes in dairy products, seafoods, and meats.

Posting Komentar

0 Komentar